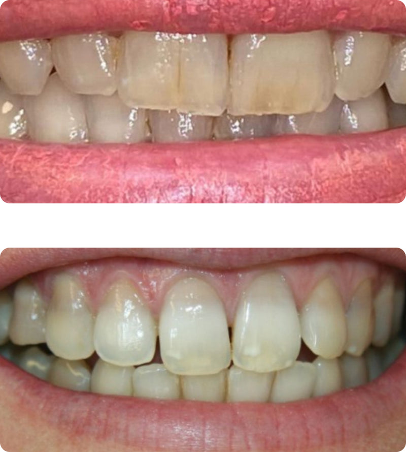
TAKE OUR DENTAL QUIZ

Find out if you're suitable for whitening and what Enlighten treatment is best for you.

Disclaimer: This protocol is based on your responses and is intended as general guidance. Final assessment and treatment should be made by your dentist, who can best evaluate your needs. Our team is always available for advice and suggestions.