What is Tooth Erosion? Causes, Symptoms, Diagnosis & Treatment

Tooth erosion is a term you might have heard around the dentist’s office or read about online, but what does it mean, and why does it actually matter?
In this guide, Dr. Ana Roberts B explains this often-overlooked dental condition, the signs and symptoms to look for, what to do if you suspect it and how it can affect you.
What is tooth erosion?
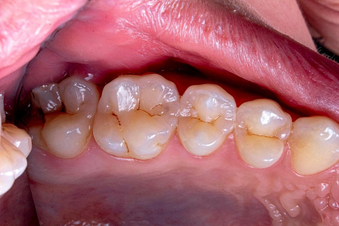
Tooth erosion is the gradual wearing away of the enamel, the hard outer layer surface of your teeth.
Unlike tooth decay, which is typically caused by bacteria, erosion occurs when acids commonly found in food and beverages directly dissolve the enamel.
It’s important to note that once the enamel is lost, it does not regrow or regenerate. Early awareness is vital in combating tooth erosion and preventing the further erosion of your enamel.
What are the symptoms of tooth erosion?
The symptoms of tooth erosion can mimic those of tooth decay and other common oral conditions.
Although they may vary depending on the severity and how far along the erosion is, the most common symptoms you can expect are:
· Increased tooth sensitivity, especially to hot, cold, or sweet foods
· Yellowing of the teeth as enamel wears away and dentin is exposed
· Rounded or rough edges on the teeth
· Transparency at the edges of the front teeth
· Indentations or cupping on the tooth surface
· Tooth discoloration and dullness
· In more severe cases, cracks, chips, or thinning teeth
Causes of tooth erosion
Many things can cause tooth erosion. However, almost always, they’re caused by an increase in exposure to acids.
The main causes of tooth erosion are:
1. Diet
Regularly consuming acidic foods – mainly citrus fruits like oranges, limes and lemons – and drinks like soda, wine and sports drinks can increase the acidity in your mouth.
It’s this acidity that gradually chips away at the enamel over time.
2. Medical conditions
Stomach acid is highly acidic.
Common medical conditions – like acid reflux (GERD) – and less common conditions like bulimia can bring this acid into contact with your teeth.
These acids are strong and can damage the enamel quite quickly with frequent exposure.
3. Dry mouth
Your mouth produces saliva constantly. Your saliva is one of the most effective combatants of over acidity by bringing your mouth to a healthy PH balance – usually around 6.7 to 7.4.
If you have a dry mouth, saliva isn’t available to maintain a healthy PH in your mouth, gradually making it more acidic. This results in an increase in erosion, as your enamel lacks the natural protection it gets from saliva.
4. Brushing habits
Your brushing habits can contribute to tooth erosion without you knowing.
Brushing too soon after a meal or using a toothbrush with bristles that are too rough can wear away the enamel, exacerbating the problem, especially if you’re also suffering from dry mouth as well.
How tooth erosion is treated
Treatment offered by dentists depends on a variety of factors, like how far the erosion has progressed and how much damage has been done.
To treat early-stage enamel erosion, topical fluoride is the most common treatment as it helps strengthen your enamel and stop erosion from getting worse.
A tooth-friendly diet, like avoiding sodas, limiting alcohol consumption, can help stop the condition from worsening.
If the damage is too much to be treated with topical fluoride or a quick lifestyle change, restorative treatments might be required.
This might include:
· Fluoride treatments: Help to strengthen enamel and reduce sensitivity.
· Bonding or veneers: Used to restore appearance and function in more advanced cases.
· Fillings or crowns: May be needed if the tooth structure has been significantly lost.
How can I prevent tooth erosion?
Are you concerned about tooth erosion or starting to experience symptoms that you suspect to be tooth erosion? Then you’ll want to get a healthier mouth and strengthen your enamel as soon as possible to prevent further damage.
Some of the ways you can do this are:
1. Limit acidic foods and drinks
Cut back on items like citrus fruits, fruit juices, vinegar-based dressings, fizzy drinks, wine, and energy drinks. If you do have them, try to have them in moderation and make sure you stick to a thorough oral care routine.
You might also want to consider using a straw to minimise contact with your teeth.
2. Choose non-fizzy drinks
Both water and milk are more tooth-friendly choices than things like lemonade, Coke and alcohol.
3. Drink more water
Water helps rinse away acids and sugars, while milk can help neutralise acid thanks to its calcium and phosphate content.
4. Rinse your mouth with water after acidic foods
Swishing water around your mouth after eating or drinking something acidic helps wash away lingering acids, reducing the time they stay in contact with your enamel.
5. Wait before brushing your teeth
After consuming acidic food or drinks, your enamel becomes temporarily softened.
Brushing immediately can cause more wear. So, wait at least 30 minutes to give your saliva time to neutralise the acids and re-harden enamel.
6. Use a soft-bristled toothbrush and fluoride toothpaste
A soft brush is gentle on enamel and gums, while fluoride toothpaste helps strengthen tooth enamel and protect against acid erosion.
7. Chew sugar-free gum
Chewing gum (preferably sugar-free) stimulates saliva production, which helps neutralise acids and supports enamel remineralisation and strengthening.
8. See your dentist regularly
Routine dental check-ups can help catch early signs of tooth erosion. Your dentist can offer personalised advice and recommend treatments or products, like high-fluoride toothpaste or sealants, to help protect your teeth.
FAQs
1. How common is tooth erosion?
Tooth erosion is increasingly common, especially among people with high-acid diets or acid reflux. It can affect people of all ages, but is especially prevalent in teens and young adults due to dietary habits.
2. When should I see my dentist?
See your dentist if you notice increased sensitivity, changes in tooth colour, or any visible changes to the shape or texture of your teeth. Early detection can help prevent more serious damage.
3. How serious is tooth erosion?
While early erosion may only cause mild sensitivity or discoloration, more advanced cases can lead to significant tooth damage, pain, and the need for restorative dental work. It’s important to address it early with your dentist.